Coronavirus: la foto del virus che circola in Italia, isolato al Sacco di Milano

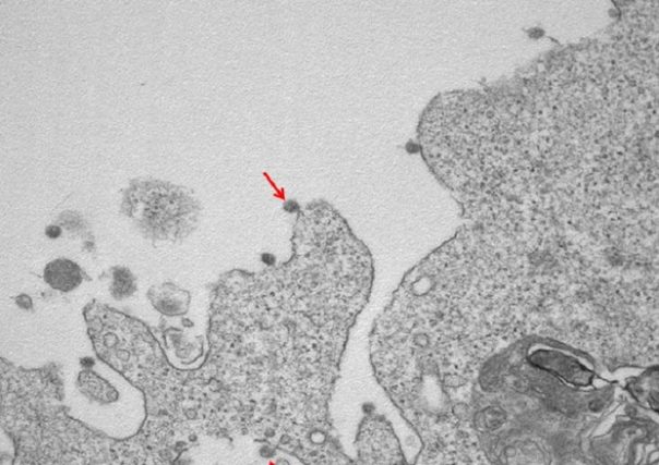
ROMA – Si vede anche la famosa ‘corona’, nel primo ritratto in bianco e nero del virus SarsCoV2 isolato in Lombardia all’Ospedale Sacco di Milano: le immagini al microscopio elettronico mostrano le particelle virali adese alle membrane delle cellule e la loro tipica corona di glicoproteine superficiali. L’annuncio in una nota dell’Università Statale di Milano.
Il coronavirus era stato isolato presso il Laboratorio di Malattie Infettive dal gruppo coordinato da Massimo Galli e Gianguglielmo Zehender, in collaborazione con l’Anatomia Patologica diretta da Manuela Nebuloni del Dipartimento di Scienze Biomediche e Cliniche Luigi Sacco.
A ottenere gli isolamenti sono stati i ricercatori Alessia Lai, Annalisa Bergna, Arianna Gabrieli e Maciej Tarkowski, mentre Antonella Tosoni e Beatrice Marchini hanno effettuato le osservazioni al microscopio elettronico e prodotto le bellissime immagini.
Nella prima, a un ingrandimento di 30000X, si osservano le particelle virali di SarsCov2 (indicate dalle frecce), adese alle membrane sulla superficie e all’interno di cellule utilizzate per l’isolamento.
La combinazione di altre due immagini a diverso ingrandimento (50000X e 140000X) mostra invece le particelle virali con la tipica ultrastruttura caratterizzata dalla corona di glicoproteine superficiali.
